
Published in Academic Anesthesia Journal :10.62186/VGGP4800
Google Scholar Index: VGGP4800
Anorexia nervosa (AN) is a severe psychiatric disorder marked by restrictive eating behaviors, distorted body image, and a significant risk of morbidity and mortality. A subset of AN patients are impervious to conventional therapies, including pharmacological, psychotherapeutic, and nutritional interventions. Deep brain stimulation (DBS) has come to light as a potential therapeutic strategy in treatment-resistant psychiatric conditions.
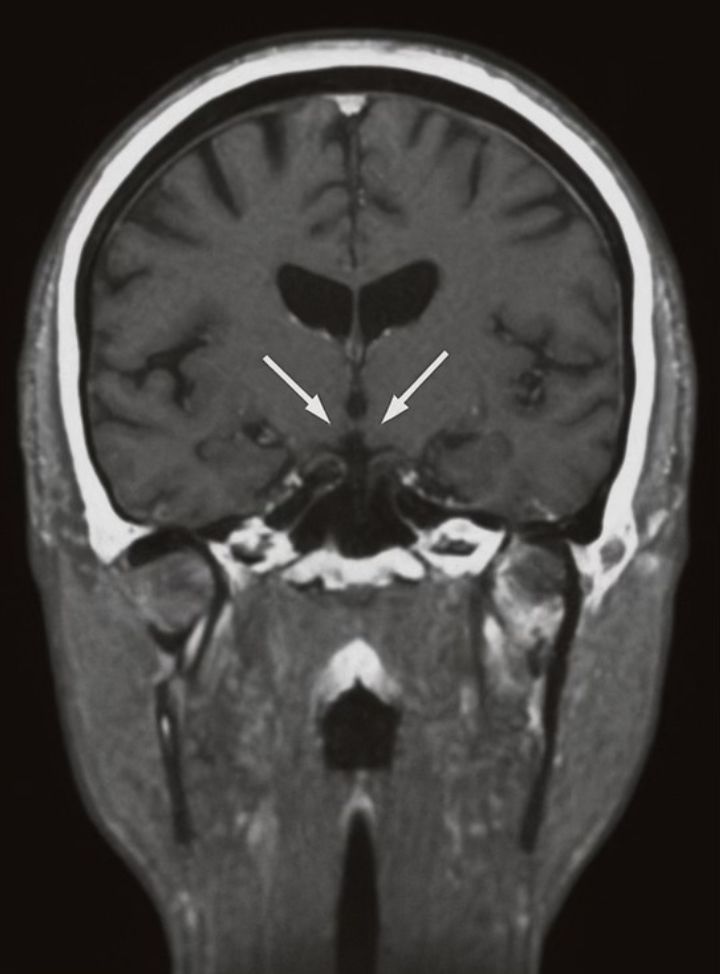
We report the case of a 26-year-old woman with severe, chronic AN (body mass index [BMI] 13.8 kg/m²) who was unresponsive to multiple therapeutic modalities. After a multidisciplinary evaluation, she underwent stereotactic implantation of bilateral electrodes targeting the subcallosal cingulate cortex.
Postoperatively, the patient demonstrated progressive weight restoration, mood stabilization, and improved treatment engagement without surgical or device-related complications.
At 12-month follow-up, her BMI improved to 16.2 kg/m², accompanied by sustained clinical and psychosocial benefits. This case highlights the potential role of DBS in refractory AN, emphasizes the importance of careful patient selection, and contributes to the growing body of evidence supporting neuromodulation as a promising avenue for severe eating disorders.