
Published in Academic Anesthesia Journal: doi.org/10.62186/VDDC4260
Google Scholar Index: article/145179
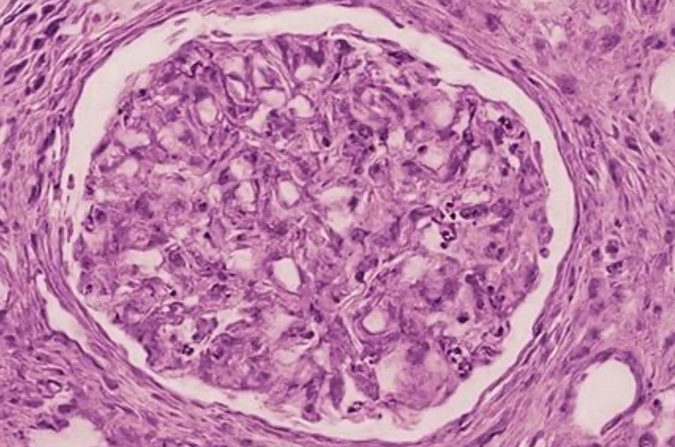
Recurrent focal segmental glomerulosclerosis (FSGS) after kidney transplantation is a rare but serious complication that can rapidly compromise graft function. A 35-year-old male with end-stage renal disease (ESRD) secondary to primary FSGS underwent deceased-donor kidney transplantation. Two weeks post-transplant, he developed nephrotic-range proteinuria, hypoalbuminemia, generalized edema, and new-onset hypertension. Renal biopsy confirmed recurrent FSGS, showing diffuse podocyte effacement and segmental glomerular sclerosis. The patient was treated with a tailored immunosuppressive regimen including low-dose tacrolimus, mycophenolate mofetil, and rituximab. Management included close monitoring and titration of immunosuppressive therapy according to response and tolerability. No major complications were noted during treatment. This case highlights the importance of early recognition, biopsy confirmation of recurrent FSGS, and the potential benefits of targeted therapies such as rituximab in improving outcomes in high-risk transplant recipients.